


На первом приеме Вы получаете санацию ротовой полости и план лечения. С помощью программы Digital Smile Design Вы увидите эффект преображения уже в начале процедуры.

Актуально для фронтальных зубов. С помощью программы Digital Smile Design Вы увидите эффект преображения уже в начале процедуры.

После санации ротовой полости осуществляется подробное обследование с помощью рентгена и томографа, что позволяет с высокой точностью и надежностью проводить протезирование.

Лечение твердых тканей - это часть предварительных оздоровительных мероприятий. При выявлении кариеса, пародонтита, периодонтита и прочих заболеваний применяется комплекс мер, возвращающих здоровье.

Если вы хотите голливудскую улыбку, мы рекомендуем задуматься об отбеливание на этом этапе. Помните, что цвет коронок подбирается под текущий цвет эмали зубов, и в дальнейшем осветлить их не получится. Отбеливание оплачивается отдельно.

После всех предварительных процедур, по актуальным данным лечащий врач корректирует трек лечения и информирует пациента.

Аппликационные и инъекционные обезболивающие делают ортопедический процесс комфортным для пациента и предсказуемым для протезиста.

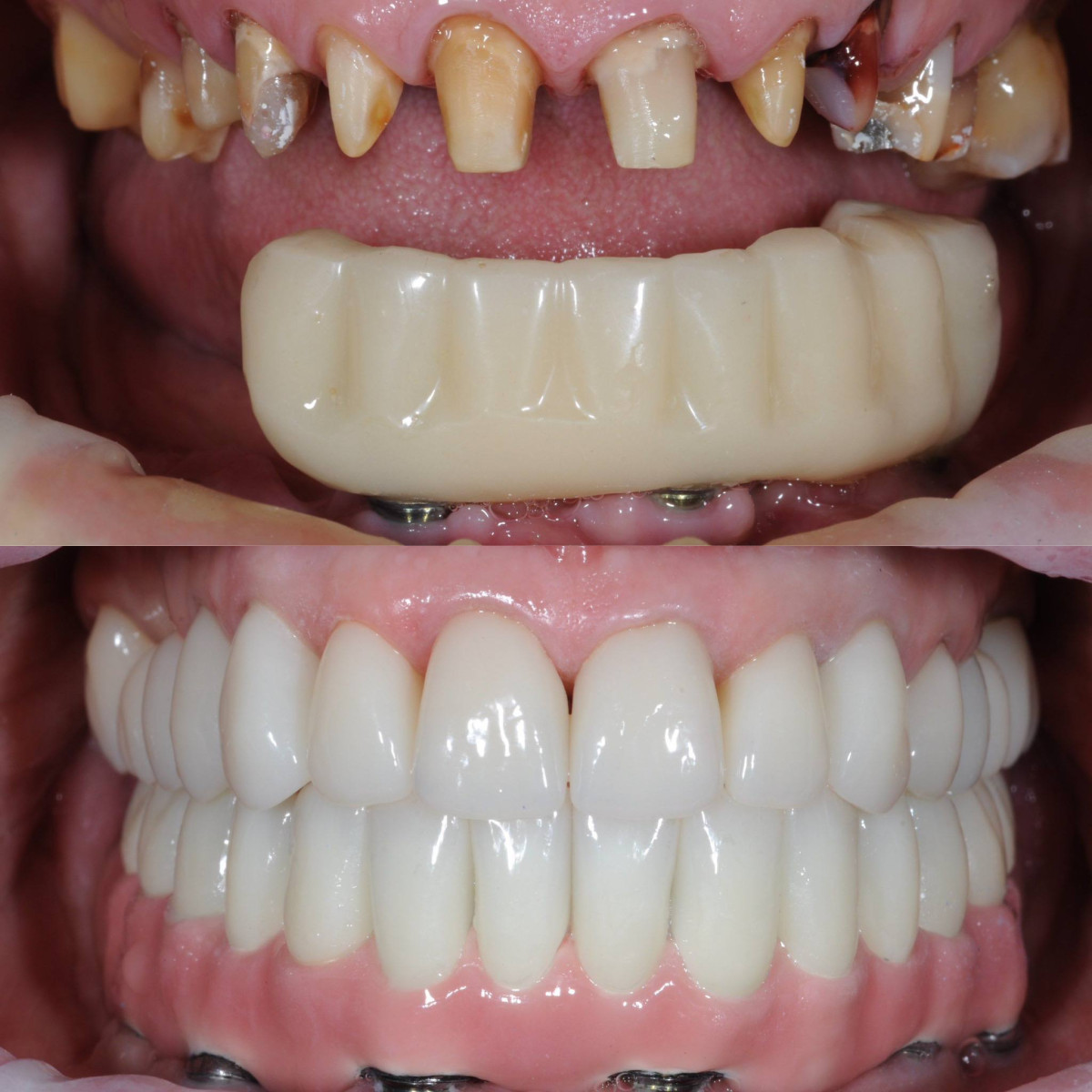
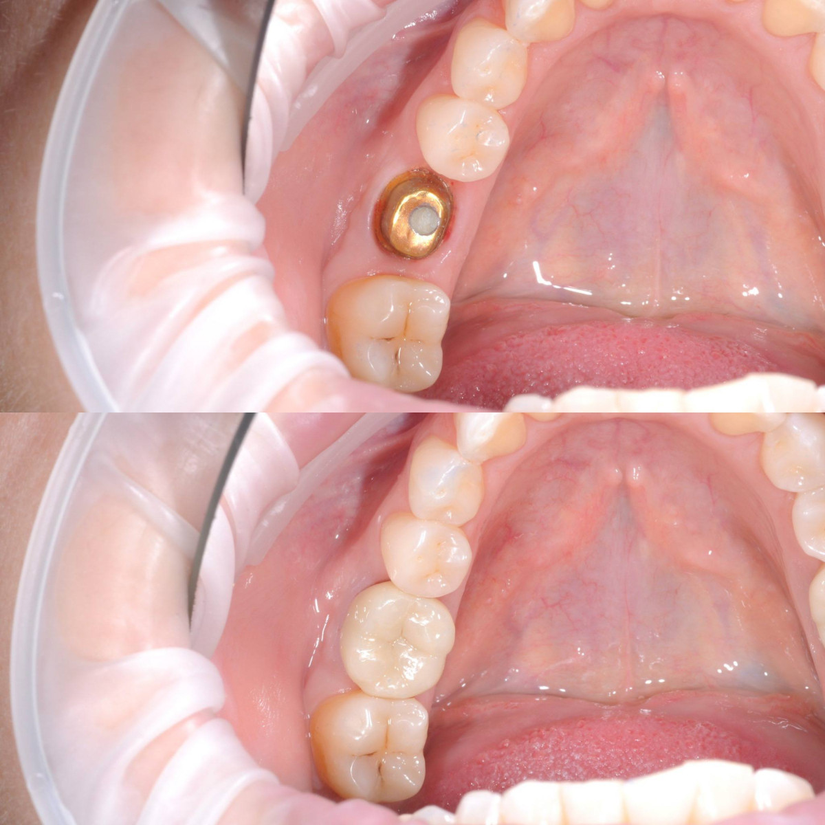
После санации ротовой полости на здоровых зубах проводится бережное препарирование твердых тканей на толщину коронки (объем шлифовки будет незначительным по сравнению с металлокерамикой), стоматолог работает под дентальным микроскопом достигая минимальной обточки и хорошего прилегания коронки. Затем следует снятие слепков и производство временной конструкции. На время изготовления протеза на зуб фиксируют пластмассовую провизорную коронку.

Безметалловая конструкция из гипоаллергенного материала изготавливается на высокоточном цифровом станке в собственной зуботехнической лаборатории за 1 час и может быть установлена на стеклоиономерный цемент в тот же день.

Для этого врач применит стоматологический цемент или другой адгезивный материал. Возможна винтовая фиксация коронки на зуб или имплант. Затем ортопед корректирует форму и гладкость изделия вручную и полирует поверхность специальными пастами. В результате пациент получает совершенный и полностью функциональный керамический протез, не отличающийся от соседних единиц. Оттенок выбирается индивидуально. Цвет не отличается от естественного. Гарантировано анатомическое соответствие.
Юридическая гарантия
На все услуги клиники действует гарантия до 5 лет
Лучшие специалисты
Непрерывное повышение квалификации врачей. Средний стаж - более 10 лет
Оборудование и технологии
Используем самые передовые методы лечения и новейшее оборудование

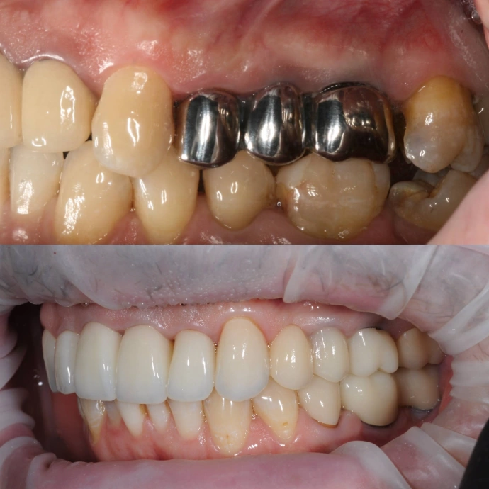
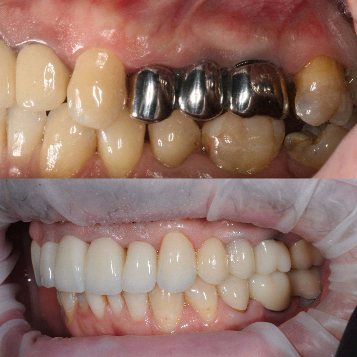
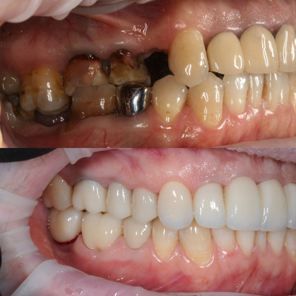
это материал для изготовления зубных протезов. Они практически неотличимы от натуральных зубов. Керамические коронки прекрасно смотрятся в зоне улыбки, они абсолютно безвредны и гипоаллергенны. Изделия идеально прилегают к деснам. В отличие от металлокерамики они не приводят к появлению посторонних привкусов во рту. Жевание не страдает, эстетичность сохраняется.
При установке керамической конструкции в клинике нет потребности в сильном сошлифовывании твердых тканей. Ее легко можно поставить на передние зубы. Все перечисленное делает безметалловые решения одним из эффективных инструментов, находящихся в распоряжении современной стоматологии.
Часто при изготовлении керамических коронок используется оксид циркония или алюминия. По конструкции все они делятся на 3 вида:
Цельноциркониевые (ставятся на жевательные единицы, получающие основную нагрузку и находящиеся за пределами зоны улыбки).
Цельнокерамические (востребованы при реставрации фронтальной части зубного ряда).
Составные с каркасом из циркония и внешним слоем из керамики. Стандартное ортопедическое решение.
Выбор подходящего пациенту вида врач клиники Мед-Студио сделает индивидуально. Он будет отталкиваться от особенностей ситуации, с которой столкнулся посетитель.

Врачи стоматологического центра Мед-Студио подберут для вас специальные средства ухода за полостью рта и дадут необходимые рекомендации по личной гигиене.
Это гарантирует продолжительный срок службы моста или .
Рекомендовано следить за гигиеной полости рта, использовать ополаскиватели и ирригатор. Обязательны осмотры в клинике для профилактики придесневого кариеса и инфекционных заболеваний. Профессиональная чистка показана раз в 6 месяцев.
Нет. Врач порекомендует анестезию. Острые боли и дискомфорт исключены. Мы заботимся о пациентах, поэтому предлагаем безболезненные методы терапии патологических болезней, затрагивающих ткани пародонта.
Врач-ортопед настоит на предварительном препарировании поражений. Ротовая полость должна быть полностью здоровой. Терапевтические мероприятия потребуются также при поражении твердых тканей.
Его задача сводится к хирургическому вмешательству при потребности в имплантации. Ситуация не касается хирургии в прямом смысле. Если на месте утраченной единицы не сохранился даже корень, для фиксации коронковой искусственной конструкции потребуется установить опорный элемент – имплант. Этим и занимается имплантолог.
В этой ситуации, если разрушение не является критичным, специалист посоветует сохранить часть единицы. На нее он будет устанавливать коронку. Керамические коронки выглядят очень эстетично и не отличаются от родных зубов, изготавливаются из фарфора, который подобен натуральной эмали зуба, поэтому такие коронки выдерживают десятилетия службы без окрашивания и механических проблем. Установка керамических коронок и мостовидных протезов позволяет восстановить зубы и вернуть клиентам полную функциональность и красоту улыбки. Коронки из керамики очень прочные, выдерживают жевание твердой пищи, например, Вы можете грызть орехи, овощи, Фарфоровые коронки не поцарапаются при контакте с жесткими предметами. А свет отражается от них подобно натуральной эмали зуба.
Первая решает задачи по исправлению прикуса и положения зубных рядов посредством назначения пациенту ношения специальных конструкций. Вторая тесно связана с терапевтическими мероприятиями по восстановлению утраченных единиц. Стоматологические направления шире, они способствуют устранению разных патологических состояний твердых тканей при наличии медицинских показаний.
Да. О пожеланиях расскажите доктору. Он оценит состояние полости рта и расскажет, подойдет ли металл или цирконий. На металл может появиться реакция в виде посинения десны, а коронки из диоксида циркония биосовместимы и выглядят как естественные.
Для исключения стирания собственных зубов и искусственного материала врач клиники назначит дополнительную терапию прозрачными капами. Это нечто вроде профилактики. Капы исключают стираемость, сохраняют естественную эмаль и искусственные элементы, защищают их от сколов и иных вероятных дефектов. Эстетика не пострадает: часто капы показаны для ночного использования.
Да. Это подвижность, непереносимость керамического материала, воспаление костной ткани. Целесообразность процедуры и предварительного лечения определяет доктор клиники после консультации и диагностики.
Качественное оказание услуг Вы получите в стоматологии Мед-Студио. Оцените наш профессионализм. Для Вашего удобства работаем с Понедельника по Субботу с 09:00-20:00 по адресу г. Ставрополь, ул. Партизанская 2б
Мы гарантируем полную безопасность и надежность данных конструкций, а также долгий срок их службы.
Если вы беспокоитесь об аллергических реакциях на материал искусственного зуба, используемый при изготовлении керамических изделий, не волнуйтесь, таких реакций от них обычно не возникает. Мы применяем только высококачественные и безопасные материалы. Если у вас есть аллергические реакции на материалы, дайте нам знать, и мы подберем индивидуальный вариант для Вас. Мы также предоставим все необходимые документы о материалах, используемых в процессе, и описание методик их применения.
В случае необходимости, мы также можем советовать другие варианты восстановления зубов, учитывая ваши предпочтения и анамнез.
Наша клиника гарантирует высокий уровень сервиса и заботы о клиентах. Мы всегда стремимся создать положительное впечатление и обеспечить комфортные условия для каждого пациента.
Установка коронок зубов обычно проводилась в несколько этапов. Сначала производилось обтачивание и предварительная подготовка зуба под коронку, затем слоями наносилась керамическая масса. После каждого слоя масса должна прогреваться светом для запекания и для того, чтобы обеспечить стойкость и прочность коронки. По сути это огромные пломбочки. Уделяя им много времени персонал технологически не сможет выполнить эстетичные изделия.
Современные фрезерованные коронки обеспечивают не только эстетическую, но и функциональную замену настоящих зубов. Такие коронки зубов позволяют сохранить все преимущества жизни, такие как полноценное питание и правильное произношение звуков. Забота о коронках требует ежедневной гигиены, включая чистку зубной щеткой и использование зубной нити. Также рекомендуются регулярные посещения стоматолога для профессиональной очистки и осмотра.